Are Black Triangles Between Teeth Normal . also known as black spaces or open gingival embrasures, black triangles occur when there is a visible. black triangles between your teeth are also known as “open gingival embrasures.” these gaps are the result of. Learn more about the oral health risks, causes and. are black triangles between teeth normal? Yes, black triangle teeth are completely normal. Black triangles are naturally occurring spaces between triangular shaped teeth touching each other. These spaces in between teeth, allow for. In addition to oral health problems,. black triangles between your teeth can result from gum recession or bone loss. a dental black triangle is empty space between your teeth where gum tissue should be. Black triangles are the spaces between the teeth that occur naturally.
from ar.inspiredpencil.com
Black triangles are naturally occurring spaces between triangular shaped teeth touching each other. black triangles between your teeth are also known as “open gingival embrasures.” these gaps are the result of. Yes, black triangle teeth are completely normal. black triangles between your teeth can result from gum recession or bone loss. Black triangles are the spaces between the teeth that occur naturally. Learn more about the oral health risks, causes and. also known as black spaces or open gingival embrasures, black triangles occur when there is a visible. a dental black triangle is empty space between your teeth where gum tissue should be. In addition to oral health problems,. are black triangles between teeth normal?
Black Triangle Teeth
Are Black Triangles Between Teeth Normal Black triangles are naturally occurring spaces between triangular shaped teeth touching each other. Learn more about the oral health risks, causes and. Yes, black triangle teeth are completely normal. black triangles between your teeth can result from gum recession or bone loss. These spaces in between teeth, allow for. are black triangles between teeth normal? a dental black triangle is empty space between your teeth where gum tissue should be. Black triangles are naturally occurring spaces between triangular shaped teeth touching each other. In addition to oral health problems,. also known as black spaces or open gingival embrasures, black triangles occur when there is a visible. Black triangles are the spaces between the teeth that occur naturally. black triangles between your teeth are also known as “open gingival embrasures.” these gaps are the result of.
From kilnlanedental.co.uk
Black Triangle Teeth St. Helens Dentist Kiln Lane Dental Are Black Triangles Between Teeth Normal Learn more about the oral health risks, causes and. are black triangles between teeth normal? In addition to oral health problems,. Black triangles are naturally occurring spaces between triangular shaped teeth touching each other. Yes, black triangle teeth are completely normal. a dental black triangle is empty space between your teeth where gum tissue should be. also. Are Black Triangles Between Teeth Normal.
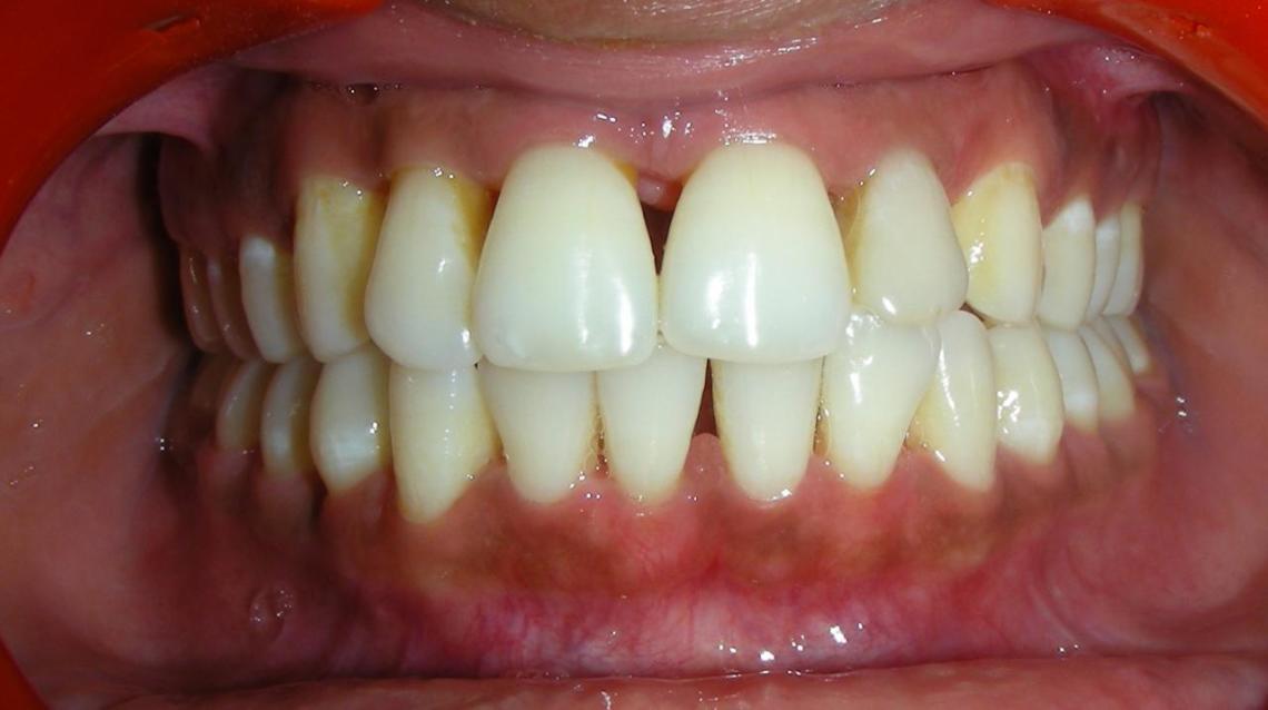
From www.anewswire.com
How to Fix Black Triangles in Teeth Causes and Prevention Are Black Triangles Between Teeth Normal black triangles between your teeth can result from gum recession or bone loss. In addition to oral health problems,. a dental black triangle is empty space between your teeth where gum tissue should be. Black triangles are naturally occurring spaces between triangular shaped teeth touching each other. also known as black spaces or open gingival embrasures, black. Are Black Triangles Between Teeth Normal.
From www.dbqortho.com
What to know about "black triangles" Dubuque Ortho Are Black Triangles Between Teeth Normal also known as black spaces or open gingival embrasures, black triangles occur when there is a visible. are black triangles between teeth normal? Yes, black triangle teeth are completely normal. These spaces in between teeth, allow for. a dental black triangle is empty space between your teeth where gum tissue should be. Black triangles are naturally occurring. Are Black Triangles Between Teeth Normal.
From www.impressionsorthodontics.com
What causes dark triangles between teeth? — Impressions Orthodontics Are Black Triangles Between Teeth Normal Learn more about the oral health risks, causes and. In addition to oral health problems,. These spaces in between teeth, allow for. black triangles between your teeth are also known as “open gingival embrasures.” these gaps are the result of. Black triangles are the spaces between the teeth that occur naturally. Black triangles are naturally occurring spaces between triangular. Are Black Triangles Between Teeth Normal.
From www.fergusortho.com
Why Do I Have Black Triangles in My Teeth Jonesboro, AR Are Black Triangles Between Teeth Normal a dental black triangle is empty space between your teeth where gum tissue should be. Yes, black triangle teeth are completely normal. Black triangles are the spaces between the teeth that occur naturally. are black triangles between teeth normal? Learn more about the oral health risks, causes and. These spaces in between teeth, allow for. black triangles. Are Black Triangles Between Teeth Normal.
From desertpearldentistry.com
Dental Black Triangles and Their Causes Rancho Mirage CA Desert Are Black Triangles Between Teeth Normal Yes, black triangle teeth are completely normal. black triangles between your teeth can result from gum recession or bone loss. also known as black spaces or open gingival embrasures, black triangles occur when there is a visible. are black triangles between teeth normal? Learn more about the oral health risks, causes and. black triangles between your. Are Black Triangles Between Teeth Normal.
From dentagama.com
What is a dental black triangle? News Dentagama Are Black Triangles Between Teeth Normal These spaces in between teeth, allow for. Black triangles are the spaces between the teeth that occur naturally. Black triangles are naturally occurring spaces between triangular shaped teeth touching each other. black triangles between your teeth can result from gum recession or bone loss. are black triangles between teeth normal? also known as black spaces or open. Are Black Triangles Between Teeth Normal.
From ar.inspiredpencil.com
Black Triangle Teeth Are Black Triangles Between Teeth Normal Black triangles are the spaces between the teeth that occur naturally. black triangles between your teeth are also known as “open gingival embrasures.” these gaps are the result of. Black triangles are naturally occurring spaces between triangular shaped teeth touching each other. Yes, black triangle teeth are completely normal. are black triangles between teeth normal? also known. Are Black Triangles Between Teeth Normal.
From www.practo.com
Black Triangles of Teeth Are Black Triangles Between Teeth Normal Black triangles are the spaces between the teeth that occur naturally. a dental black triangle is empty space between your teeth where gum tissue should be. In addition to oral health problems,. Black triangles are naturally occurring spaces between triangular shaped teeth touching each other. black triangles between your teeth can result from gum recession or bone loss.. Are Black Triangles Between Teeth Normal.
From www.esthetiquedental.co.uk
Black Triangles Between Teeth and Old Discoloured Fillings Esthetique Are Black Triangles Between Teeth Normal In addition to oral health problems,. a dental black triangle is empty space between your teeth where gum tissue should be. black triangles between your teeth can result from gum recession or bone loss. also known as black spaces or open gingival embrasures, black triangles occur when there is a visible. Black triangles are the spaces between. Are Black Triangles Between Teeth Normal.
From doctorsaylor.com
New Treatment for Black Triangles between Teeth Saylor Dentistry Are Black Triangles Between Teeth Normal Learn more about the oral health risks, causes and. In addition to oral health problems,. black triangles between your teeth are also known as “open gingival embrasures.” these gaps are the result of. Black triangles are the spaces between the teeth that occur naturally. a dental black triangle is empty space between your teeth where gum tissue should. Are Black Triangles Between Teeth Normal.
From nypost.com
Dentist shares how to fix 'black triangles' between teeth Are Black Triangles Between Teeth Normal are black triangles between teeth normal? In addition to oral health problems,. also known as black spaces or open gingival embrasures, black triangles occur when there is a visible. black triangles between your teeth are also known as “open gingival embrasures.” these gaps are the result of. Yes, black triangle teeth are completely normal. Black triangles are. Are Black Triangles Between Teeth Normal.
From www.smilecliniq.com
Black Triangle between Teeth / Gum Recession / London’s leading dentist Are Black Triangles Between Teeth Normal a dental black triangle is empty space between your teeth where gum tissue should be. also known as black spaces or open gingival embrasures, black triangles occur when there is a visible. In addition to oral health problems,. black triangles between your teeth are also known as “open gingival embrasures.” these gaps are the result of. Black. Are Black Triangles Between Teeth Normal.
From orangectdentist.com
Beat the Black Triangle with Bonding Dentist Orange, CT Are Black Triangles Between Teeth Normal are black triangles between teeth normal? Black triangles are naturally occurring spaces between triangular shaped teeth touching each other. These spaces in between teeth, allow for. black triangles between your teeth can result from gum recession or bone loss. Black triangles are the spaces between the teeth that occur naturally. Yes, black triangle teeth are completely normal. In. Are Black Triangles Between Teeth Normal.
From doctorsaylor.com
New Treatment for Black Triangles between Teeth Saylor Dentistry Are Black Triangles Between Teeth Normal are black triangles between teeth normal? In addition to oral health problems,. also known as black spaces or open gingival embrasures, black triangles occur when there is a visible. black triangles between your teeth are also known as “open gingival embrasures.” these gaps are the result of. Yes, black triangle teeth are completely normal. Black triangles are. Are Black Triangles Between Teeth Normal.
From ar.inspiredpencil.com
Black Triangle Teeth Are Black Triangles Between Teeth Normal Black triangles are the spaces between the teeth that occur naturally. black triangles between your teeth are also known as “open gingival embrasures.” these gaps are the result of. black triangles between your teeth can result from gum recession or bone loss. Learn more about the oral health risks, causes and. These spaces in between teeth, allow for.. Are Black Triangles Between Teeth Normal.
From vigorousism.com
How To Fix Black Triangle Teeth A Comprehensive Guide In 2023 Are Black Triangles Between Teeth Normal Black triangles are naturally occurring spaces between triangular shaped teeth touching each other. Yes, black triangle teeth are completely normal. a dental black triangle is empty space between your teeth where gum tissue should be. These spaces in between teeth, allow for. black triangles between your teeth are also known as “open gingival embrasures.” these gaps are the. Are Black Triangles Between Teeth Normal.
From www.sarasotadentistry.com
How to Fix Black Triangles in Teeth Sarasota Dentistry Are Black Triangles Between Teeth Normal black triangles between your teeth are also known as “open gingival embrasures.” these gaps are the result of. In addition to oral health problems,. black triangles between your teeth can result from gum recession or bone loss. are black triangles between teeth normal? Learn more about the oral health risks, causes and. Black triangles are the spaces. Are Black Triangles Between Teeth Normal.